PHOTOSYNTHETIC SYSTEMS

WHAT IS REQUIRED FOR PHOTOSYNTHESIS?
 
 
INPUTS REQUIRED SYSTEMS
LIght Absorptive
Carbon Dioxide Absorptive
Water Absorptive and Transport (Xylem)

Each year terrestrial and marine plants fix 100 billion tons of CO2 to make enough glucose to fill a freight train 30 million miles long!
 
INPUTS PHOTOSYNTHETIC PROCESS OUTPUTS
Light Light Dependent Reactions Chemical Energy
Carbon Dioxide Light Independent Reactions Fixed carbon (glucose) for growth or input into Storage Systems via Phloem component of Transport System
Water Photolysis Oxygen and protons

I.  Review of Light Dependent Reaction and Photolysis

    A. Photosystem I & II = harvest light energy

        1. Thousands of pigment molecules in thylakoid membranes

        2. Absorption of photons raises energy level of pigment molecules

        3. Pigment molecule returns to ground state when energy is released in the form of heat and electrons.

    B. The "Z" Scheme or Electron transport system

         1. Coupled with PS I & II

         2. Releases energy in steps

         3. Photolysis = Water molecule is split to release 2 H+ + O-+ e-

         4. e- => PSII + light energy => higher energy state

         5. electron transport => lower energy state + H+ pumped

         6. e- => PSI + light energy => higher energy state

         7. electron transport energy reduces NADP- to NADPH

         8. ATP synthesized via ATPsynthetase as H+ diffuses down gradient 

              ATP Synthase Model   Movie

II. Review of Light Independent Reaction

    A. Chloroplast stroma

    B. 6 CO2 + 12 NADPH +18 ATP -> 1 C6H2O6 + 12 NADP + 18 ADP + 18 Pi + 6 H2O

    C. One complete cycle fixes one molecule of CO2

        1. Six complete cycles fixes enough CO2 to make one molecule of glucose
        2. RuBP = Ribulose Bisphosphate
        3. PGA = Phosphoglycerate
        3. PGAL = Glyceraldehyde phosphate
        4. RuMP = Ribulose Monophosphate

III. Calvin Benson Cycle (C3 Photosynthesis)

    A.  Ribulose bisphosphate Carboxylase (RuBP Carboxylase)    "Rubisco"

        1. High CO2 -> 2 PGA

        2. Photorespiration

                    a. High O2 -> 1 PGA + phosphoglycolate
                    b. phosphoglycolate -> PGA + CO2
                    c. 20-30 % of Carbon fixed is lost

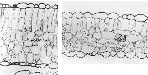
IV.  Anatomical variation within C3 Photosynthetic System

     A.  Chlorenchyma is generally located near surface of Aerial Parts of plants for maximum interception of light

        1.  Translucent epidermis and light conducting cellulose facilitates light interception

        2.  Lens shaped curvature of outer epidermal walls can focus light into interior of plant

     B.  Chlorenchyma of temperate dicot leaf mesophyll often subdivided into two specialized geometries

        1.  Palisade

            a.  Stake like cells with long axis orthogonal to surface layer

            b.  Less prominent intercellular air space, but more larger free surface area exposed to intercellular air (1.6 - 3.5 X that of spongy)

            c.  Have more chloroplasts per cell

            d.  Maximizes light interception via efficient packing of chloroplasts per unit volume of leaf

            e.  Number of paradermal layers of palisade is typically amplified in reponse to exposure of developing leaf primordia to high light intensities -> "Sun  Leaves"

        2.  Spongy

            a.  Irregularly shaped cells

            b.  Larger intercellular air space

            c.  Typically located on abaxial side, where stomata are located

            d.  Contributes to uptake of CO2 (and loss of H20)

        3.  Distinction between these two layers varies

            a.  In plants with multilayered palisade, the interface layer between palisade and spongy is transitional in form

        4.  Degree of development of palisade and spongy layers related to habitat
 
HABITAT PALISADE  SPONGY Internal/External Surface Area Ratio*
Temperate Mesomorphic  Adaxial Abaxial 6.8 -9.9 (Shade Leaf)
11.6 - 19.2 (Sun Leaf)
Xeromorphic Adaxial and Abaxial Central, much reduced 17.2 - 31.3
Hydromorphic Reduced or lacking all together Throughout
        *  Higher ratios indicate that rate of photosynthesis is higher, but so is water loss

     C.  Temperate monocot leaves typically

            1.  Have one type of cell, or

            2.  Shorter "U" shaped palisade cells

            3.  Leaves typically vertically oriented

            4.  Stomata on both sides of leaves

V. Anatomical variation associated with Hatch & Slack (C4) Photosynthesis

      A. Spatial separation of initial CO2 fixation and C3 cycle often reflected in Kranz Anatomy

      B. Mesophyll Cells

            1. "normal" looking chloroplasts

            2. CO2 + pyruvate + NADPH + H+ + 2 ATP -> malate + NADP+  + 2 ADP + 2 Pi

            3. PEP carboxylate is insensitive to O2
       C. Malate transported to

       D. Bundle Sheath Cells

            1. chloroplasts lack grana

            2. malate + NADP+ -> pyruvate + NADPH + H+ + CO2

            3. Calvin Cycle proceeds in CO2 enriched environment

        E. Pyruvate transported to Mesophyll Cells

        F. More efficient under conditions of high light and high temperature

               1. PEP carboxylase more efficient than RuBP under these conditions

               2. CO2 concentrated at site of Calvin Cycle effectively eliminates photorespiration

IV. Anatomical variation associated with Crassulacean Acid Metabolism = CAM

          A. Temporal separation of initial CO2 fixation and C3 Cycle

          B. Night

               1. Stomata open = rate of water loss reduced

               2. CO2 + pyruvate + NADPH + H+ + 2 ATP -> malate + NADP+ +  2 ADP + 2 Pi

               3. Malate stored in vacuole = pH decreases

          C. Day

               1. Stomata closed = minimum water loss

               2. Light reaction provide energy

               3. Malate retrieved from vacuole and converted = pH increases

               4. malate +NADP+ -> pyruvate + NADPH+ + H+ +CO2

               5. Calvin cycle

        D. Adapted to conditions of high light, high temperature, and extreme dryness

               1. Water conserved

               2. Succulent plants

               3. Slow growth
 
TYPE OF PHOTOSYNTHESIS 
C3
C4
CAM (DARK)
CAM (LIGHT)
RATE OF CO2 FIXED
mg dm2h-1
20 - 40
30 -70
1 - 10
1 - 10
TRANSPIRATION RATIO
mg H20 lost / mg CO2 gained
600
300
30 - 75
200